Sağlık

Bayburt’ta hiç dişi olmayan hasta implant tedavisiyle yeni dişlerine kavuştu

Bayburt’ta hiç dişi olmayan hasta implant tedavisiyle yeni dişlerine kavuştu

Bayburt’ta hiç dişi olmayan hasta implant tedavisiyle yeni dişlerine kavuştu
08-08-2025 14:32

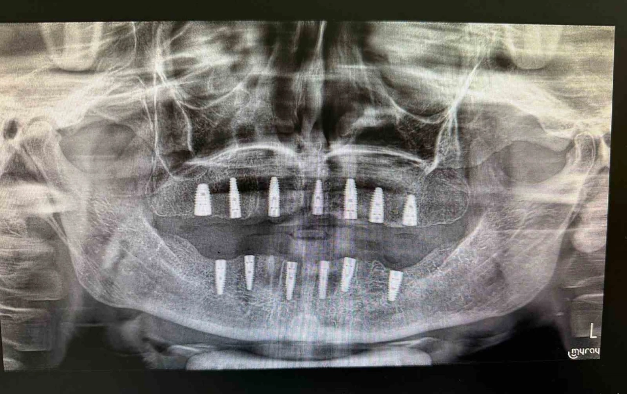
Bayburt Ağız ve Diş Sağlığı Merkezinde tamamen dişleri olmayan bir hastaya implant tedavisi uygulandı. Tedavi sonrası hasta, yeni dişlerine kavuştu.


Merkezde görevli Uzm. Dt. Sefa Merve Arıkan tarafından gerçekleştirilen ameliyatta hastaya 13 adet implant yerleştirildi.


Diş implantı, çene kemiğine yerleştirilen ve eksik dişlerin işlevini üstlenen yapay diş kökleri olarak biliniyor. Genellikle dişini kaybetmiş veya hiç dişi bulunmayan hastalara uygulanan bu yöntem, hem estetik görünüm hem de çiğneme fonksiyonunun yeniden kazanılmasını sağlıyor.


Tedavinin ardından hastanın, iyileşme süreci tamamlandığında normal beslenme ve konuşma yetilerini rahatlıkla kullanabileceği öğrenildi.



HABER KAYNAĞI : İHA
Editor : HABER MERKEZİ
SİZİN DÜŞÜNCELERİNİZ?
TÜRKİYE GÜNDEMİ
BUNLAR DA İLGİNİZİ ÇEKEBİLİR
ÇOK OKUNAN HABERLER