Diyarbakır Gazi Yaşargil Eğitim ve Araştırma Hastanesi Beyin Cerrahi Bölümünde ilk kez beyindeki tümör, kapalı yöntemle alındı.
Bölge hastanesi görevi gören Gazi Yaşargil Eğitim ve Araştırma Hastanesi, birçok alanda tedaviler gerçekleştiriyor. Bünyesinde bir ilki gerçekleştiren hastane hekimleri, 56 yaşındaki erkek hastanın beynindeki tümörü kapalı yöntemle 2,5 saatlik bir operasyonla başarılı bir şekilde aldı.
Beyin Cerrahi Bölümünün Klinik Eğitim Sorumlusu Doç. Dr. Abdurrahman Çetin, İHA muhabirine, hastanın 56 yaşında erkek olduğunu, burun kökü ve dilinde kabalaşma, ses kalınlığı şikayetleriyle geldiğini söyledi.
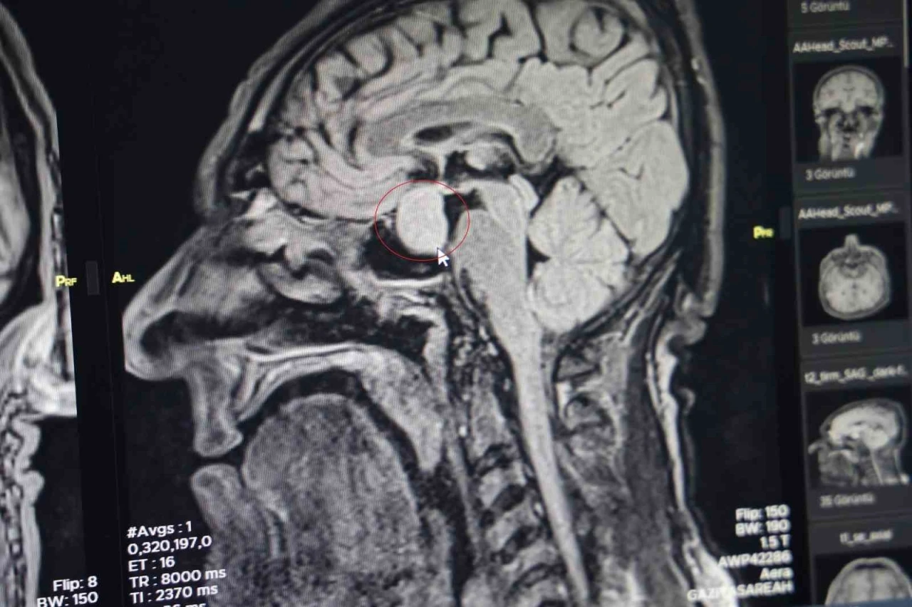
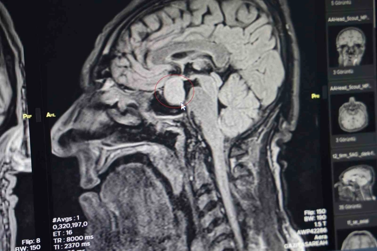
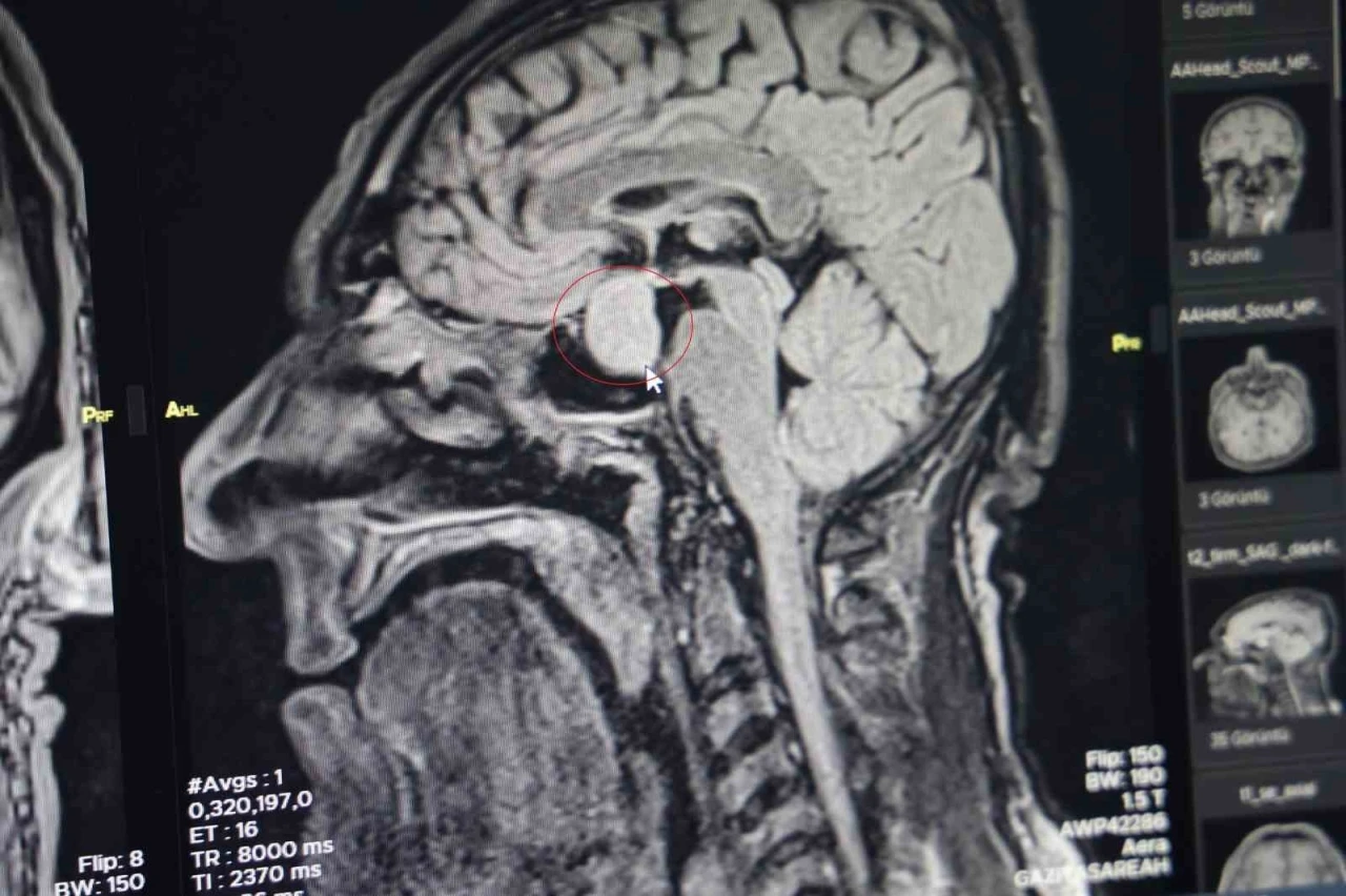
Hastanın dış merkezlerde çekilen MR’larında hipofiz bölgesinde bir iyi huylu tümör tespit edilmesi ve tavsiye üzerine kliniğine başvurduğunu belirten Dr. Çetin, hastanın yatışını yapıp ileri tetkiklerini yaptıklarını kaydetti.
Dr. Çetin, hormonlarına baktıklarında hastanın büyüme hormonları yüksek olduğunu söyleyerek, "Hastayı yapacağımız ameliyat ile ilgili bilgilendirdik. Hastanemizde ilk defa burundan kapalı yöntemle girilerek hipofiz tümörüne müdahale ettik. Allah’a şükür sağ salim bir şekilde, her hangi bir komplikasyon gelişmeden tümörü aldık. İki gün sonra da hastamızı taburcu ettik. Operasyonumuz 2-2,5 saat sürdü. Herhangi bir riskle karşılaşmadık. Hastamızın genel durumu şu an gayet iyi. Kan tetkiklerinde ve hormon düzeyinin de düştüğünü büyük bir memnuniyetle gözlemledik" dedi.
"Kendi açımız ve hastanemiz açısından güzel oldu, gururlandık" diyen Dr. Çetin, "Hipofiz bezinde yetmezlik ve görme sinirlerinde baskı yaptığı zaman görme kaybına neden olabilmektedir. Bu hastamızda ameliyat öncesi görme kaybı bir miktar vardı. Büyüme hormonu oldukça yüksekti. Tümörü boşalttığımız için hormon düzeyi yarıya düştü. 2-3 hafta sonra kontrole gelecek bir daha ölçme imkanı bulacağız. Bu hastalar genelde şimdiye kadar büyükşehirlere gitmekteydiler. Bundan sonra bu tür ameliyatları gerçekleştirme imkanı bulacağız" şeklinde konuştu.
HABER KAYNAĞI : İHA
Editor : HABER MERKEZİ
